Lần đầu tiên triển khai kỹ thuật thay khớp vai nghịch đảo toàn phần tại Việt Nam

Tại Hội nghị Khoa học và Đào tạo thường niên năm 2020 do Bệnh viện Đại học Y Dược Thành Phố Hồ Chí Minh (BV ĐHYD TPHCM) tổ chức, trong phiên đào tạo về “Phẫu thuật thay khớp vai” ngày 31/10, lần đầu tiên kỹ thuật thay khớp vai nghịch đảo toàn phần sẽ được triển khai tại Việt Nam bởi các bác sĩ khoa Chấn thương chỉnh hình.

Để khớp vai vận động nhịp nhàng cần phải có hệ thống cơ trong đó cơ lớn phía ngoài là cơ Delta, phía trong là gân cơ chóp xoay. Chức năng của chóp xoay là giữ vững cho chỏm xương cánh tay ép vào trong ổ chảo. Nhờ sự vận động của cơ Delta giúp việc xoay khớp vai được linh hoạt. Khi khớp bị thoái hoá, hỏng về cấu trúc giải phẫu hoặc khi cấu trúc giải phẫu khớp còn nguyên nhưng tổn thương cấu trúc phần mềm nặng trong bệnh lý của chóp xoay, người bệnh cần được thực hiện phẫu thuật thay khớp để phục hồi vận động.

Với những tiến bộ của y học hiện đại, bên cạnh phẫu thuật thay khớp vai bán phần, toàn phần, người bệnh có thêm một lựa chọn điều trị nữa là thay khớp vai nghịch đảo toàn phần (hay còn gọi là thay khớp vai đảo nghịch đảo Delta). Phương pháp này có tác dụng giữ chức năng của chóp xoay, giúp cử động của vai được toàn diện hơn, thời gian phẫu thuật ngắn hơn, việc tập vật lý trị liệu sau mổ dễ dàng, người bệnh phục hồi vận động tốt sau phẫu thuật, thời gian xuất viện sớm hơn (chỉ khoảng 1 tuần sau mổ) so với các phẫu thuật thay khớp vai thông thường. Thay khớp vai nghịch đảo toàn phần được chỉ định trong những trường hợp người bệnh bị thoái hoá khớp vai kèm tổn thương gân cơ chóp xoay như viêm khớp dạng thấp giai đoạn nặng, chấn thương gãy nát xương khớp vai, trật khớp vai tái diễn nhiều lần do chấn thương mà không thể mổ nội soi, u xương cánh tay, thay lại khớp vai…

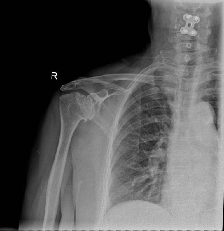
1.jpg

Hình chụp X-quang trước phẫu thuật cho thấy khe khớp vai của người bệnh bị hẹp do lớp sụn bị mài mòn,gai xương hình thành ở rìa mặt khớp, xơ xương dưới sụn.

Vài năm trở lại đây, với sự tiến bộ của khớp vai nhân tạo, phẫu thuật thay khớp vai nghịch đảo toàn phần đang trở nên phổ biến tại nhiều nước trên thế giới và lần đầu tiên được áp dụng tại Việt Nam trong khuôn khổ Hội nghị Khoa học và Đào tạo thường niên năm 2020 của BV ĐHYD TPHCM.

Tại phiên đào tạo về “Phẫu thuật chấn thương khớp vai”, các bác sĩ khoa Chấn thương chỉnh hình BV ĐHYD TPHCM sẽ tiến hành đào tạo và mổ thị phạm, truyền hình trực tiếp kỹ thuật thay khớp vai nghịch đảo toàn phần tới đại biểu tham dự tại Hội trường 3A. Phẫu thuật được thực hiện trên người bệnh T.H., 73 tuổi, ngụ tại TPHCM. Bà H. nhập viện trong tình trạng đau và mất chức năng khớp vai phải. 2 năm nay, bà H. không thể dùng tay phải trong sinh hoạt hằng ngày như chải tóc, mặc áo… Sau khi thăm khám, chụp X-quang và MRI, các bác sĩ chẩn đoán bà bị thoái hóa khớp vai bên phải mức độ nặng do biến chứng của viêm khớp dạng thấp. Bà được chỉ định phẫu thuật thay khớp vai nghịch đảo toàn phần. Các bác sĩ cho biết, việc áp dụng phẫu thuật này giúp người bệnh giảm đau, phục hồi chức năng khớp vai để người bệnh có thể trở lại vận động, sinh hoạt bình thường như trước.

2.jpg

PGS TS BS. Bùi Hồng Thiên Khanh, ThS BS. Dương Đình Triết cùng ê-kíp thực hiện phẫu thuật cho người bệnh.

3.jpg

Kỹ thuật thay khớp vai nghịch đảo toàn phần được truyền hình trực tiếp tới đại biểu tham dự Hội nghị tại Hội trường 3A.

Chia sẻ